Moda zmienia się z roku na rok. Co sezon mamy inne trendy kolorystyczne, inne faktury, wzory. Jest jednak pewna moda która nie ulega zmianie i niezmiennie utrzymuje się cały czas. Jest to moda na piękne, proste i białe zęby. Kto nie marzy o hollywoodzkim uśmiechu?…
Jak się objawia oraz kogo może dotknąć endometrioza?
W obecnych czasach wiele par nie może mieć dzieci. Kliniki leczenia niepłodności przeżywają prawdziwe oblężenie. Wiele sytuacji kiedy jest problem z zajściem w ciążę wiąże się z endometriozą. Endometrioza jest schorzeniem na które cierpią panie. Może na nie zachorować każda kobieta w wieku rozrodczym, zarówno młode ale i bardzo młode kobiety.…
Skąd bolą się bóle głowy?
Bóle głowy są bardzo powszechnym objawem chorobowym. Dotykają one dużą część społeczeństwa. Według statystyk nawet 8% ludności cierpi z powodu bólów głowy różnego pochodzenia.
Same bóle również dzielą się na wiele różnych rodzajów, a ich przyczyn może być naprawdę wiele. Jest to częsty problem z których przychodzą pacjenci do lekarza.…
Jak pozbyć się wysiłkowego nietrzymania moczu?
Nietrzymanie moczu zwłaszcza u kobiet jest dużym problemem. To właśnie kobiety częściej zapadają na tą dolegliwość. Przyczyniają się do tego trudne porody czy okres menopauzy. Kobieta czuje się nieatrakcyjna wówczas kiedy ma problem z nietrzymaniem moczu. Wdraża się leczenie również w sytuacjach kiedy budowa anatomiczna jej narządów intymnych odbiega od normy, Kiedy pojawiają się zmiany zarówno w wyglądzie jak i funkcjonowaniu ciała, znacząco wpływa na spadek samooceny oraz unikanie kontaktów intymnych.…
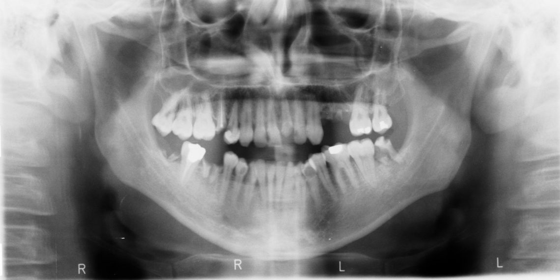
Po co wykonuje się tomografię stomatologiczną?
Aby w szczegółowy sposób zobaczyć i zobrazować uzębienie jak i konkretną okolicę zęba warto wykonać badanie diagnostyczne jakim jest tomografia.
Tomografia zębów jest bezpieczna metodą diagnostyczną. Dzięki niej można bardzo dokładnie ocenić stan uzębienia. Jest to bardzo szybka metoda. Już od razu po wykonaniu lekarz otrzymuje rzeczywisty oraz trójwymiarowy obraz tkanek miękkich, zębów jak również zatok szczękowych.…
Nie tylko depilacja ale również pedicure jest na topie!
Wydawać by się mogło, że pedicure wynalazek nowoczesnego świata. Tymczasem okazuje się, że znany on już był nawet w starożytnym Egipcie. Już w tamtych czasach były próby farbowania paznokci przy pomocy naturalnych barwników. Bardziej śmiało na salony wkroczył pedicure w XVIII i XIX wieku.…
Choć na chwilę cofnij czas.
Wszyscy wiedzą jako zmorą dla kobiet są zmarszczki. Bez względu na to czy są to poprzeczne bruzdy na czole, kurze łapki lwie bruzdy, czy też zmarszczki mimiczne. Jakie by nie były są utrapieniem wielu kobiet ale również i mężczyzn. Wiadomym jest że twarz ze zmarszczkami nie wygląda młodo, zwłaszcza jeśli jest ona pokryta również grubą warstwą makijażu, który wchodząc w zmarszczki dodatkowo je uwydatnia.…
Dlaczego tak mało się uśmiechamy?
Czasem zdarza się tak, że mijasz na ulicy ponurą osobę, nie uśmiecha się, idzie smutna, myślisz sobie, coś ją gnębi, jest niemiła, zła, nie uśmiecha się. A powód jej ponurej miny może być całkiem prosty. Brak zębów. Wiele osób zmaga się z tym problemem.…
Nie tylko piękne ciało poprawia humor. Dobry słuch również!
Nie tylko piękne ciało poprawia humor. Dobry słuch również! Jak przebiega proces wyboru aparatu słuchowego?
Osoby niedosłyszące nie mają w życiu łatwo. Ich codzienność jest dużo trudniejsza niż osób zdrowych. Osoby które nie do słyszą, dla swojej wygody oraz swojego bezpieczeństwa powinny mieć odpowiednio dobrany aparat słuchowy.…
Kiedy udać się z dzieckiem do ortopedy?
Wady stóp dotykają wiele osób. Mogą dotyczyć one zarówno dorosłych jak i dzieci. Do wielu wad przyczyniają się schorzenia mięśni, otyłość, zbyt długie przebywanie w pozycji stojącej, noszenie niewygodnego obuwia, w tym również wysokich obcasów.
Wady stóp to również częsta przypadłość dzieci, która wynikać może z szybkiego rozwoju kości, a jednocześnie wolnym wzrostem masy mięśniowej.…









